Nos Cas Cliniques
Chaque sourire a son histoire. Découvrez quelques exemples de prises en charge réalisées au cabinet
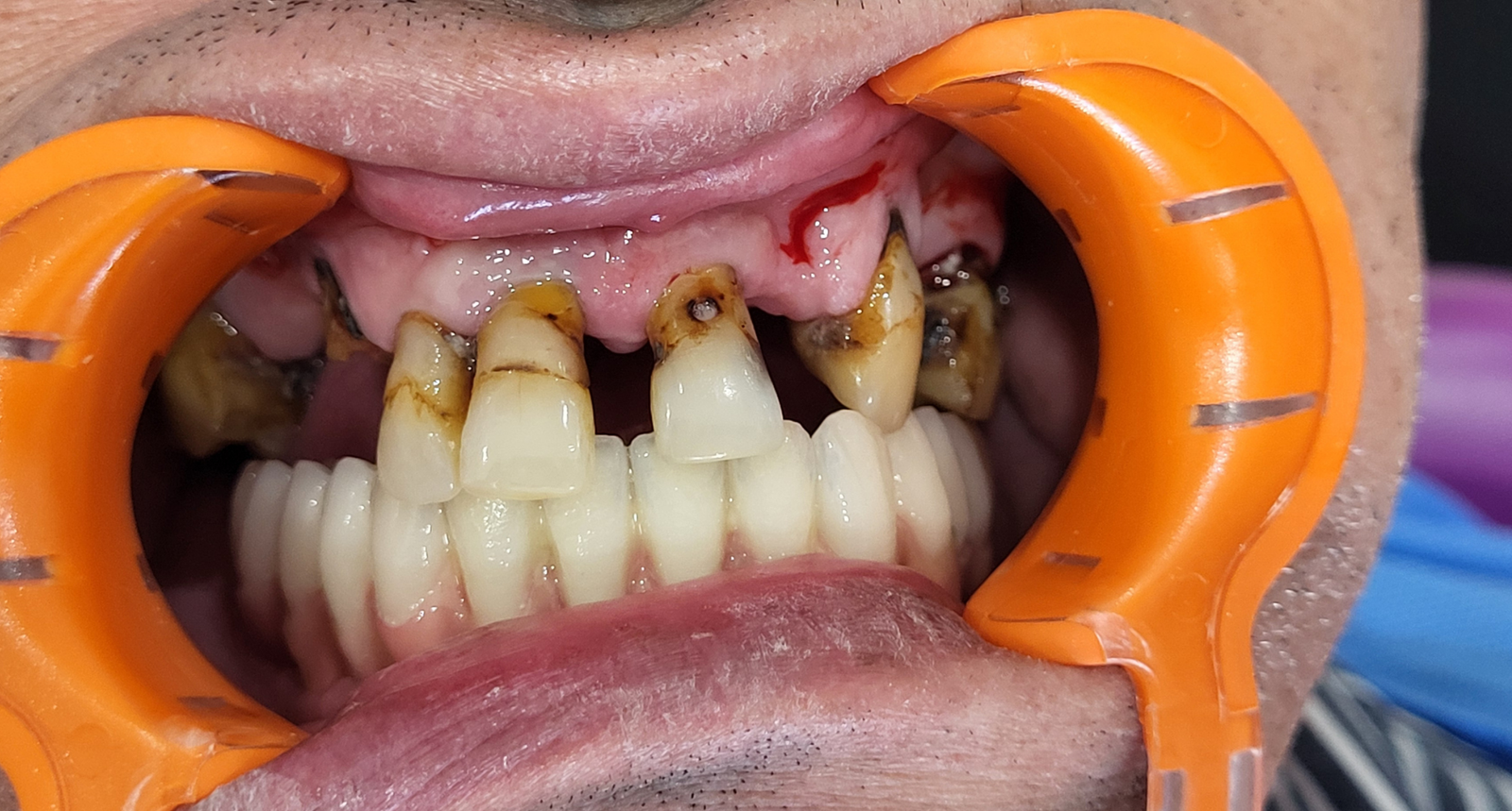
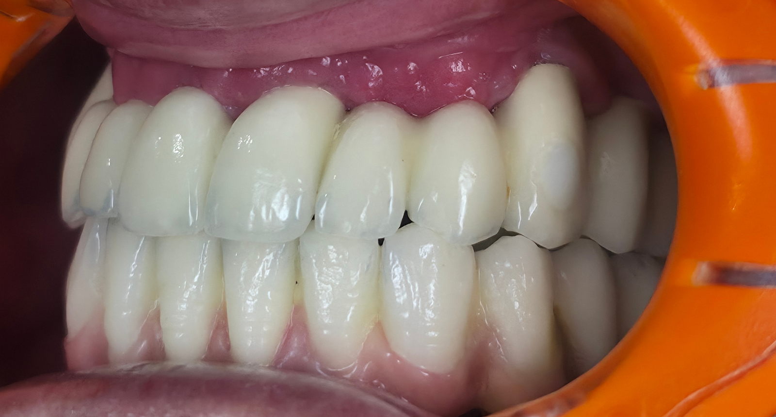
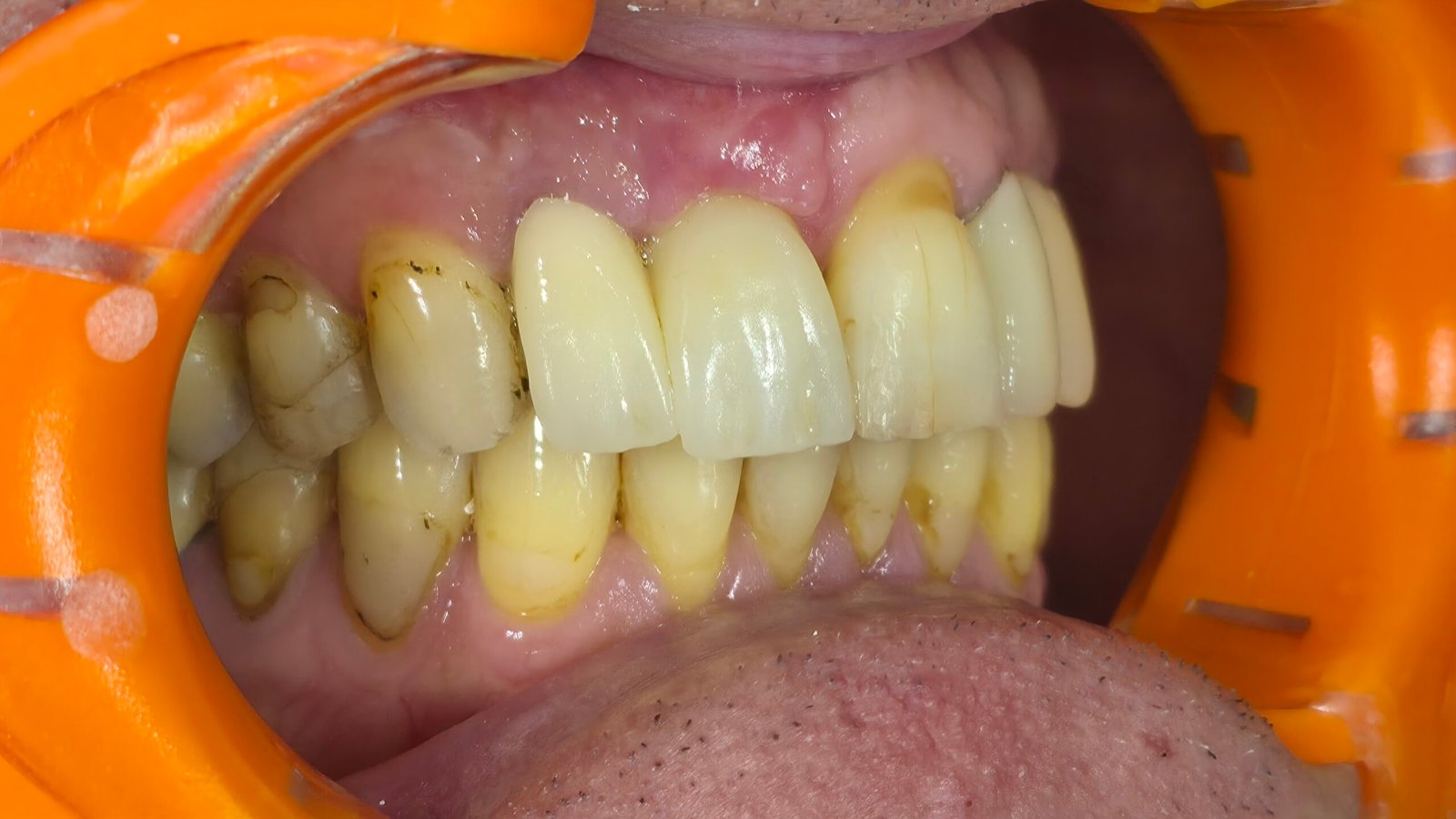
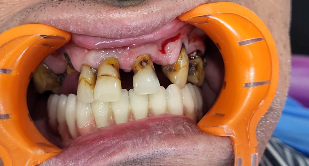
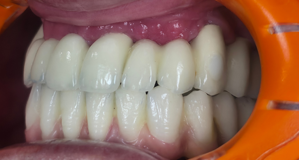
Réhabilitation complète avec mise en charge immédiate (4 implants bas / 6 implants haut)
Le patient se présente avec des dents qui bougent, en haut et en bas.
Nous avons commencé par la mâchoire inférieure avec 4 implants et une mise en charge immédiate.
Trois mois après, le haut a été fait avec le même principe avec 6 implants.
Cette fois-ci, il existait un déficit osseux, résolu par une technique d’expansion sans avoir recours à la greffe d’os.
Les prothèses réalisées sont vissées, ce qui permet de les enlever, les nettoyer une fois par an, ou résoudre n’importe quel problème.
Points clés :
Mise en charge immédiate
Expansion osseuse (sans greffe)
Prothèses vissées (maintenance facilitée)
Images :







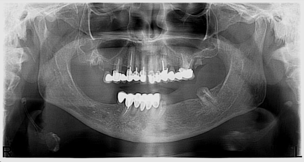
Kyste intra-osseux mandibulaire : extraction, énucléation et réhabilitation implantaire immédiate
Problème : kyste intra-osseux associé à la perte de toutes les dents de l’arcade inférieure.
Conduite à tenir (CAT) : extraction des dents restantes, énucléation du kyste, puis mise en place de 5 implants avec mise en charge immédiate, le tout réalisé en une seule séance.
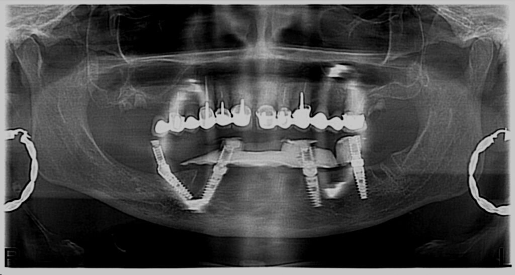
Réhabilitation complète mandibulaire : 4 implants et mise en charge immédiate
Patiente présentant une édentation mandibulaire nécessitant une réhabilitation complète implanto-portée.
Le plan de traitement a consisté en la pose de 4 implants au niveau de la mâchoire inférieure avec mise en charge immédiate, permettant une restauration fonctionnelle et esthétique rapide.
La réhabilitation finale a été réalisée par un bridge complet vissé, garantissant stabilité, confort et maintenance facilitée.
46 : infection périapicale, extraction–implantation immédiate avec greffe et membrane
Une patiente se présente au cabinet pour une infection périapicale au niveau de la 46, responsable d’une situation inflammatoire persistante. Après évaluation, la reprise du traitement canalaire s’avère impossible.
La prise en charge retenue a donc été chirurgicale : extraction de la dent, suivie d’une implantation immédiate. Afin d’optimiser les conditions de cicatrisation et de stabiliser le site, une greffe osseuse a été réalisée et recouverte par une membrane.
Cette approche permet de traiter l’infection, de préserver au mieux le volume osseux et de préparer une réhabilitation implantaire dans de bonnes conditions.
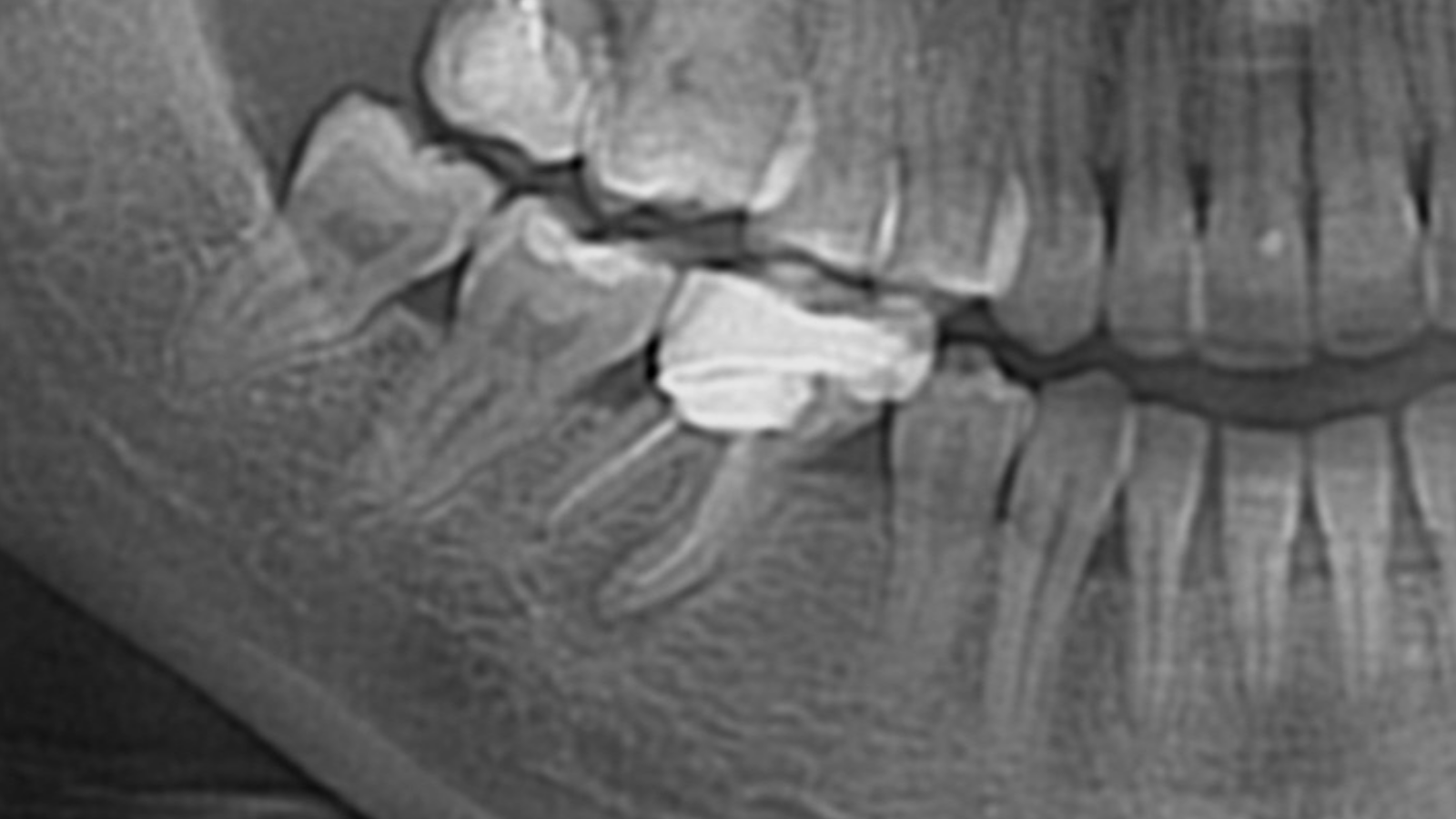
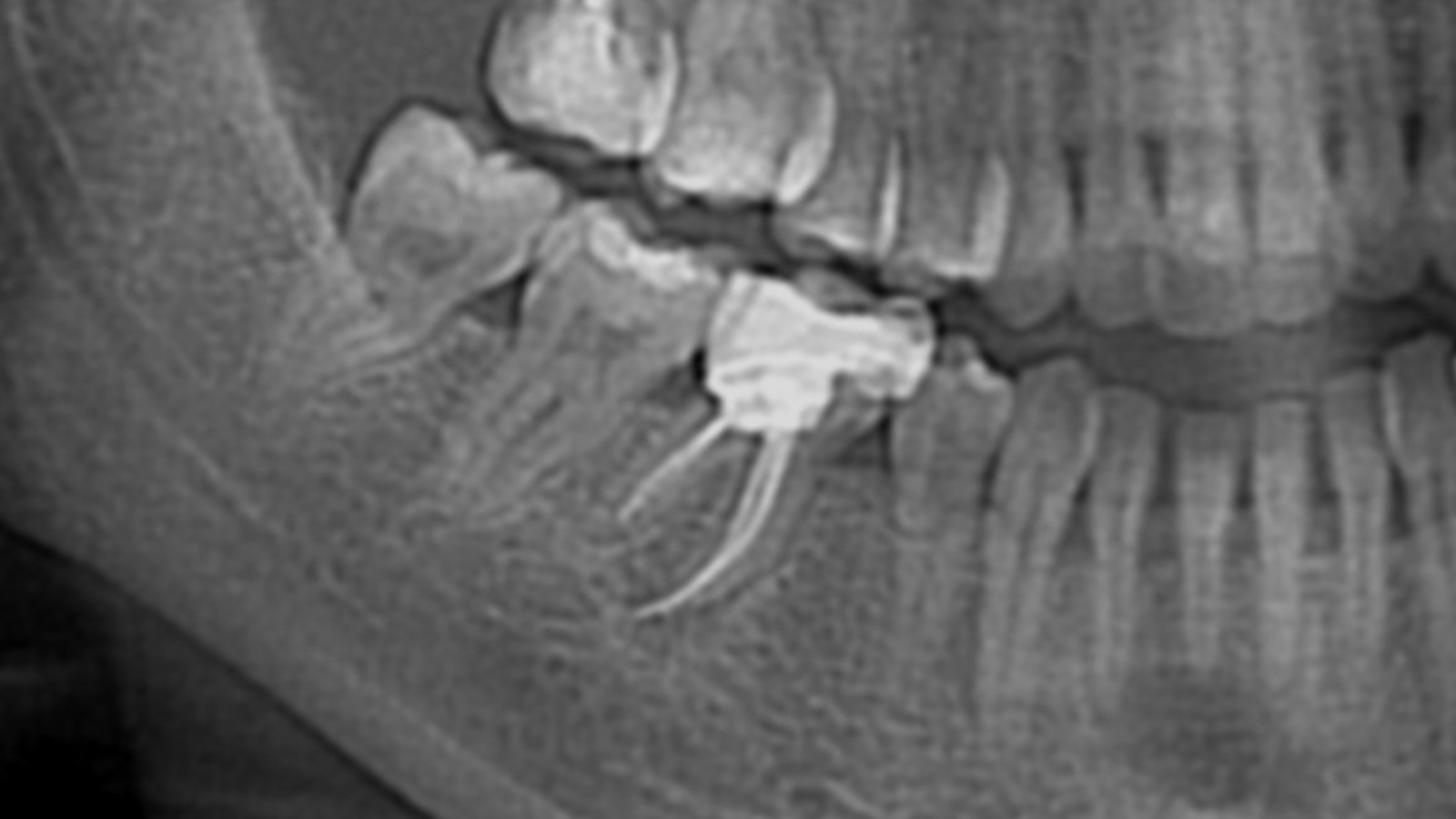
Molaire inférieure droite : infection apicale et traitement canalaire
Une jeune patiente se présente avec une infection au niveau de sa molaire inférieure droite. Sur la première image, on observe un halo grisâtre autour des sommets des racines, signe de résorption osseuse liée à l’infection.
La prise en charge a consisté en une dévitalisation réalisée en 3D, avec respect des principes essentiels : désinfection rigoureuse et maîtrise des longueurs de travail au niveau des racines.
Sur la seconde image de contrôle, le résultat est visible : disparition du halo, traduisant une évolution favorable.
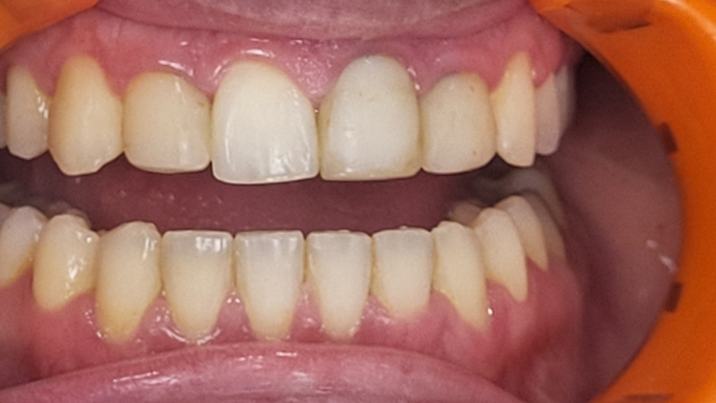
Réhabilitation esthétique après orthodontie : full-zircone & disilicate de lithium
Une jeune patiente arrive en fin de traitement orthodontique pour un déficit esthétique.
La difficulté réside dans la réalisation de prothèses différentes dans le même secteur : jongler avec la full-zircone et le disilicate de lithium.
Ce challenge fut le sujet de mon mémoire du DU d’esthétique de Strasbourg en 2008.
L’expérience et l’investissement dans le digital depuis 2017 rendent le résultat plus prévisible.
Points clés :
Planification digitale
Multi-matériaux (full-zircone / disilicate)
Résultat plus prévisible
Images :





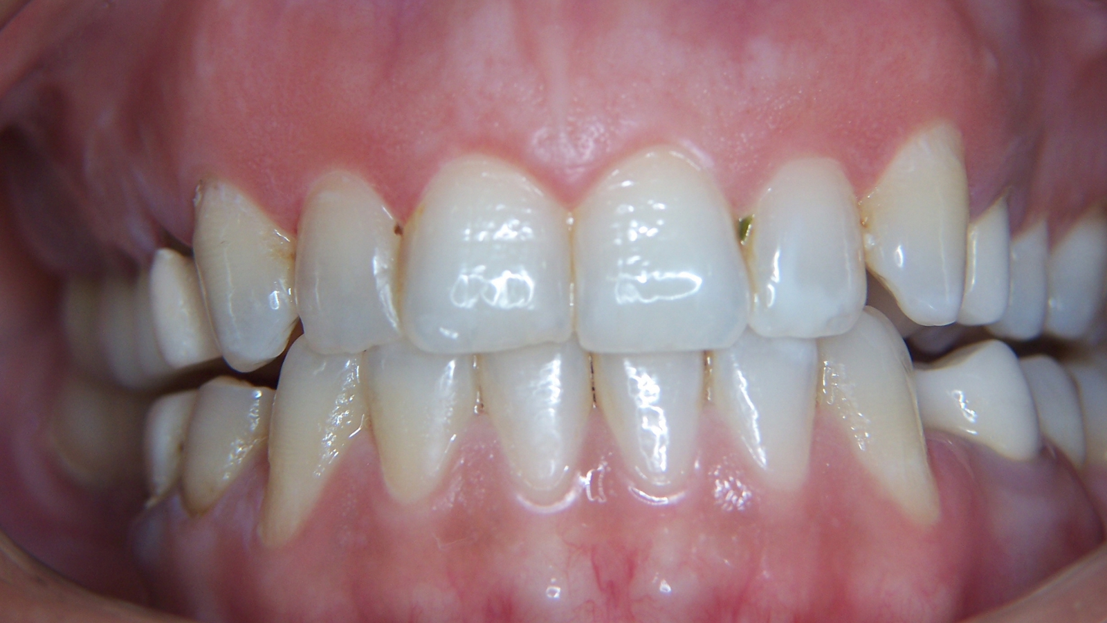
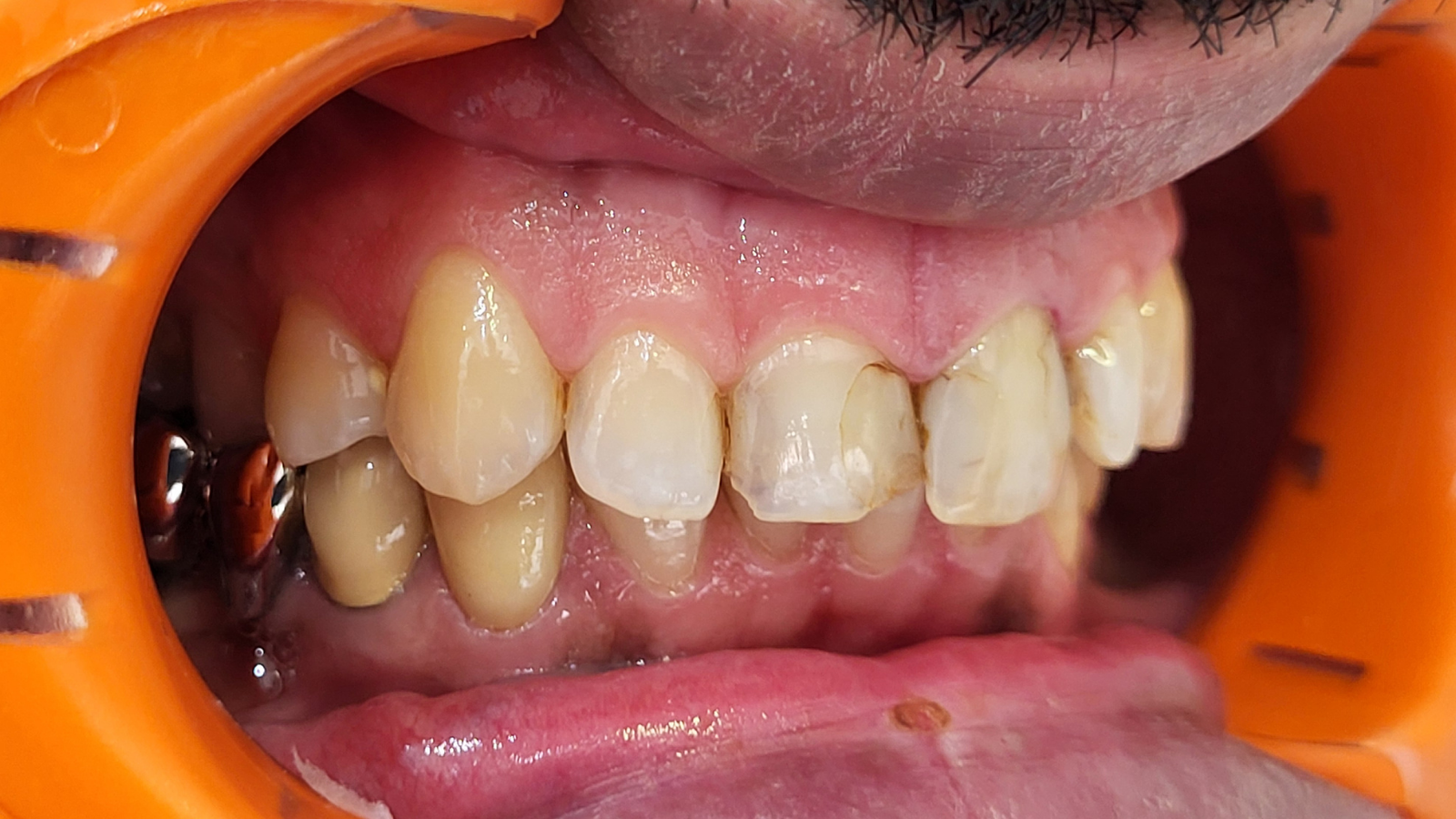
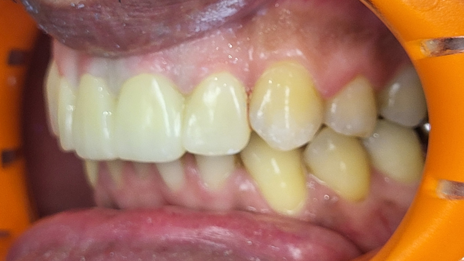
Incisive centrale (11) : extraction, greffe osseuse, implant et couronne vissée
Motif / situation initiale
Un patient se présente avec une incisive centrale droite (11) dévitalisée, ainsi que l’incisive latérale homolatérale (12), également dévitalisée.
Ces deux dents présentent des images de résorption osseuse discrète en rapport avec la dévitalisation, avec un kyste de 12 mm au niveau de la 12.
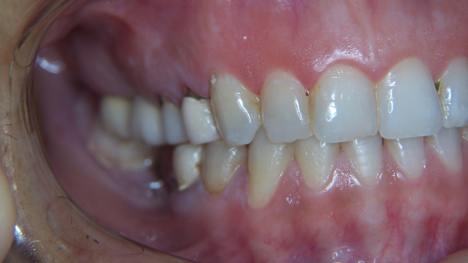
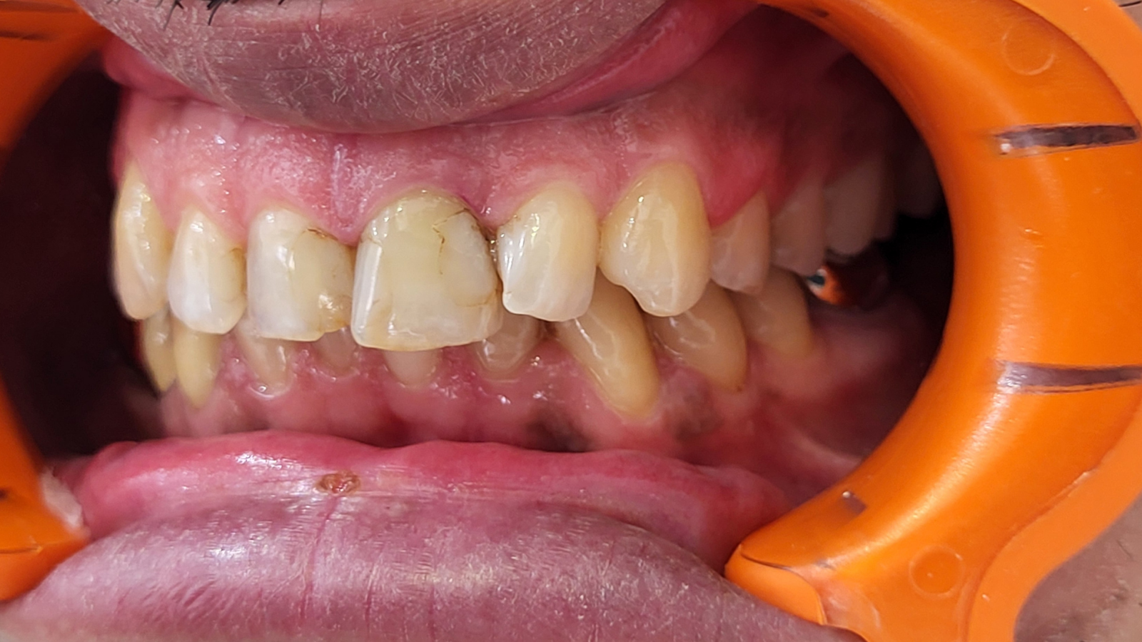
Plan de traitement
11 : extraction avec greffe osseuse (mélange os bovin + os du patient prélevé au niveau du ramus), le tout recouvert d’une membrane et fixé avec des pins.
12 : résection de la partie apicale avec un remplissage rétrograde au MTA.
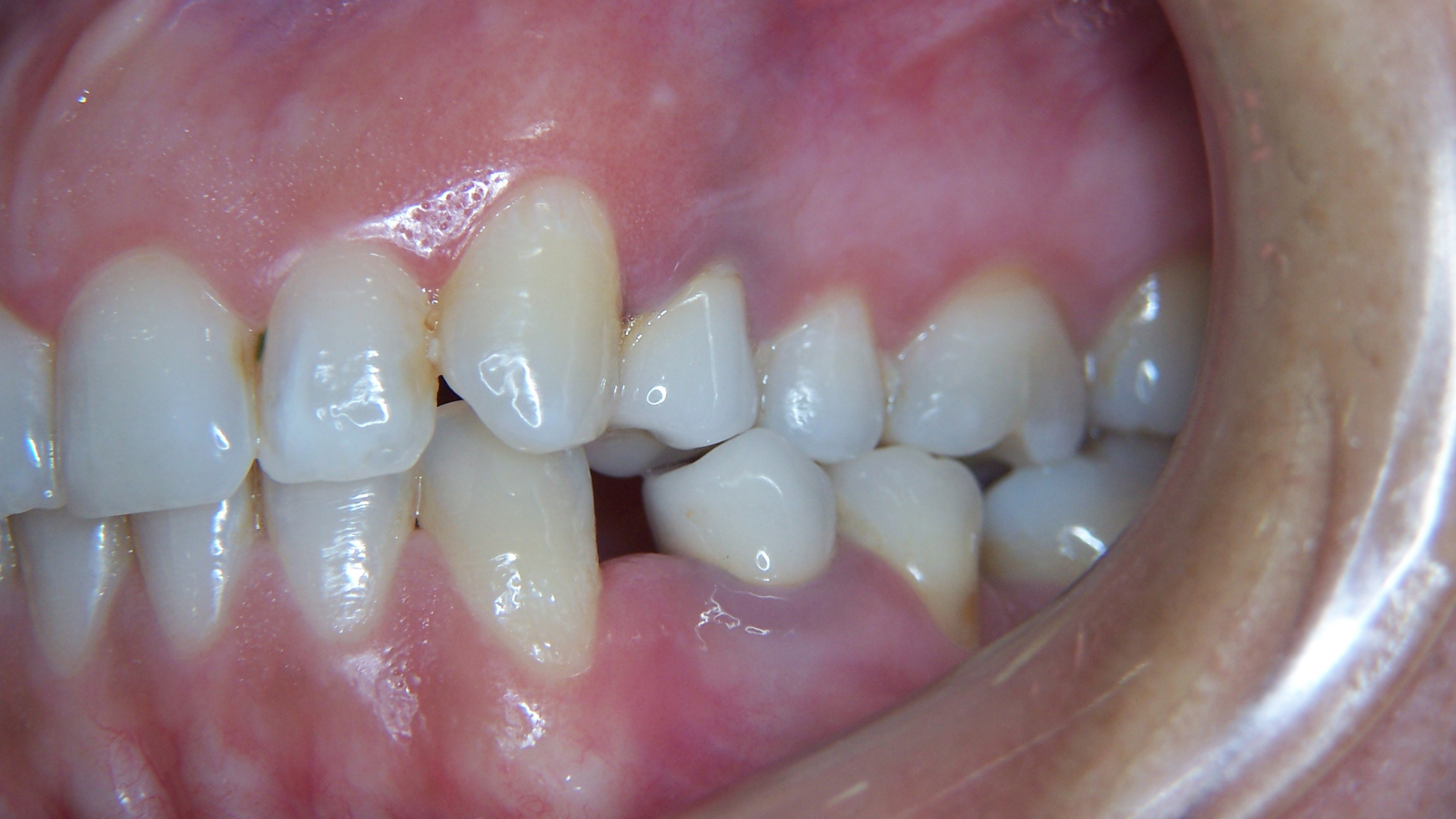
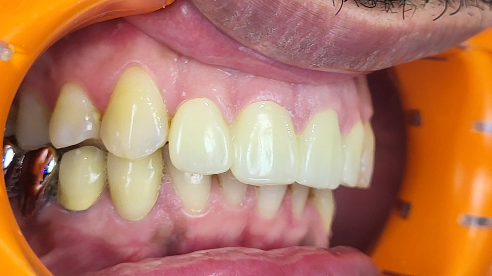
Suites / chronologie
À 6 mois : mise en place d’un implant.
3 mois après : mise en place d’une couronne vissée en zircone.
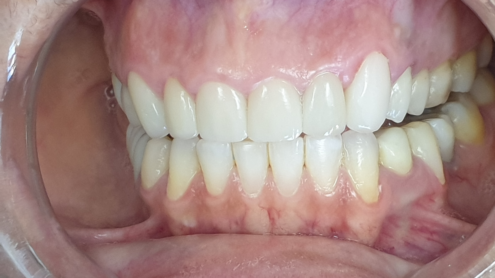
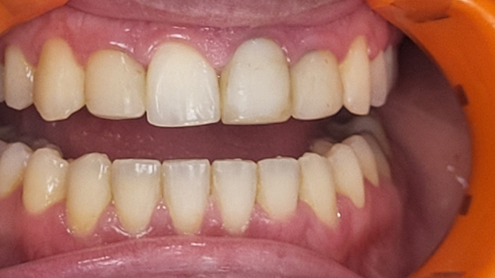
Points clés
Greffe osseuse avec membrane + pins
Chirurgie apicale avec rétro MTA
Implant puis couronne vissée en zircone
Images :






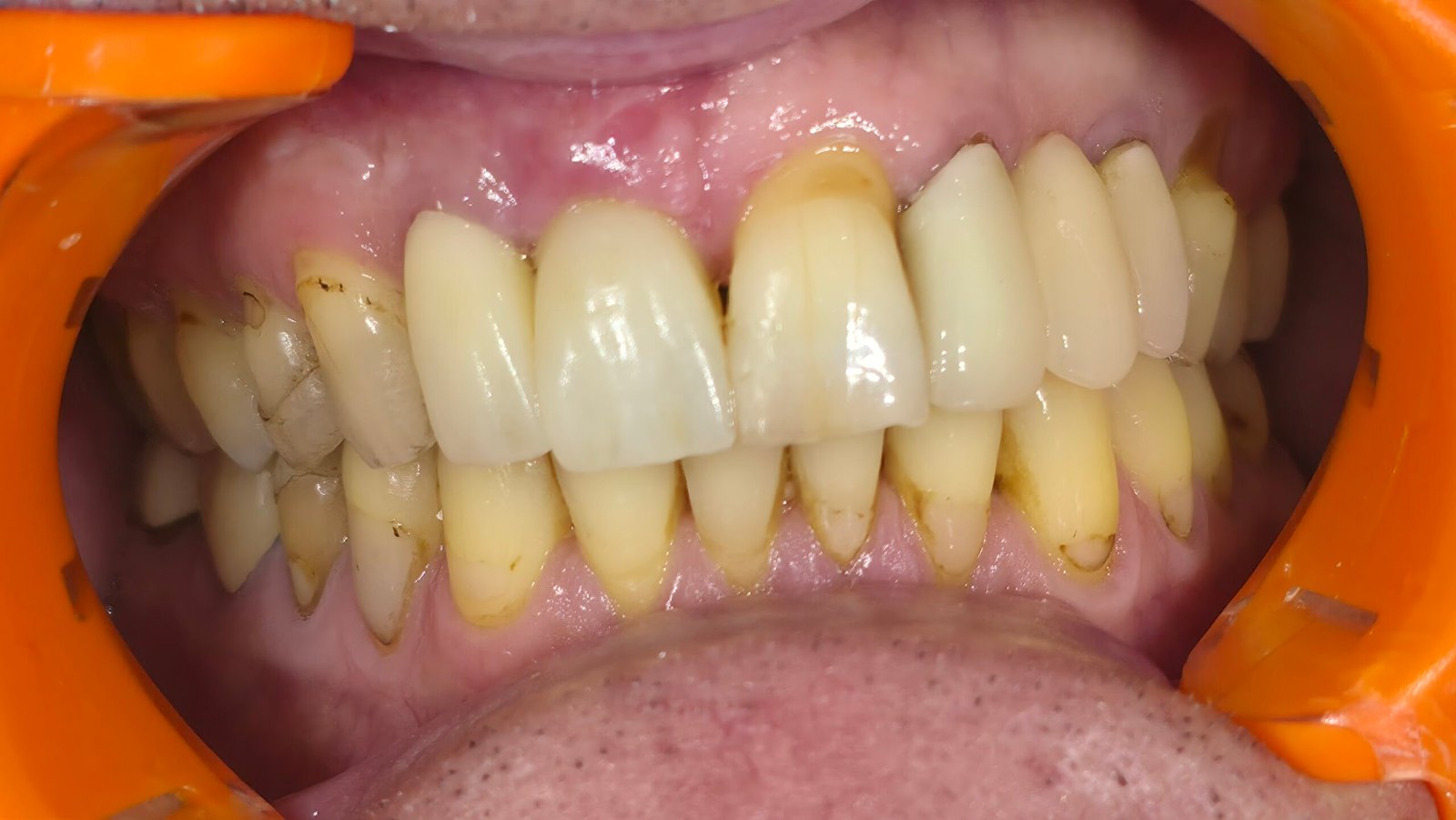
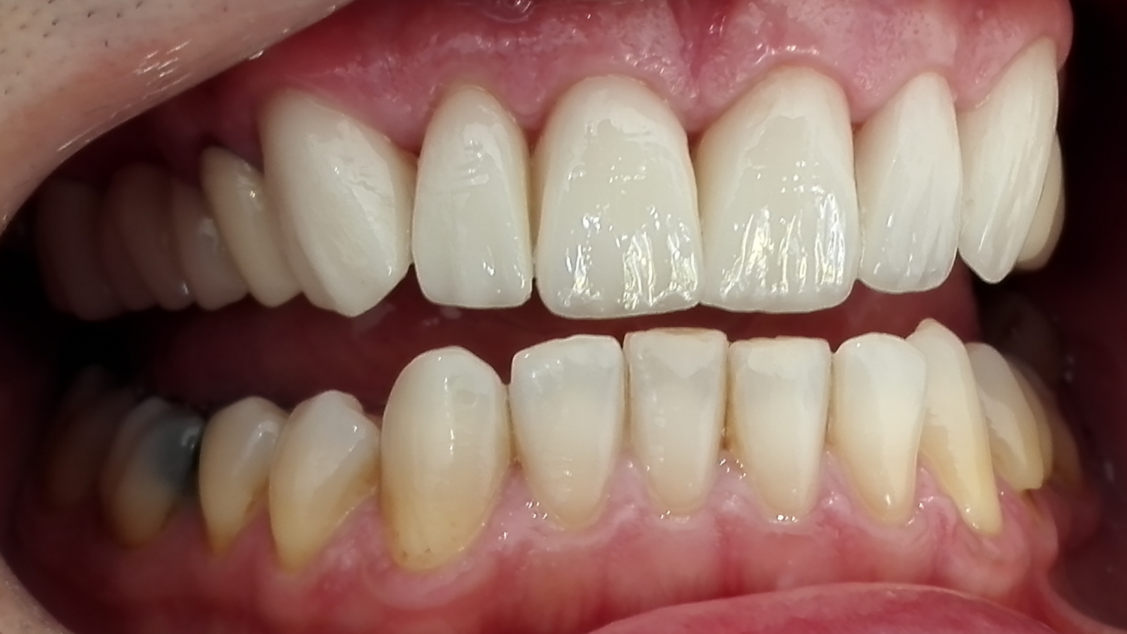
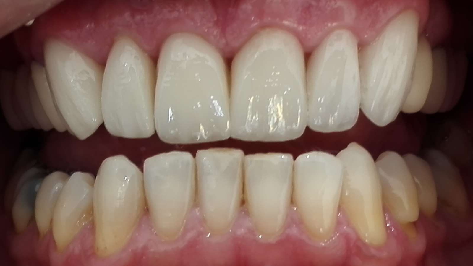
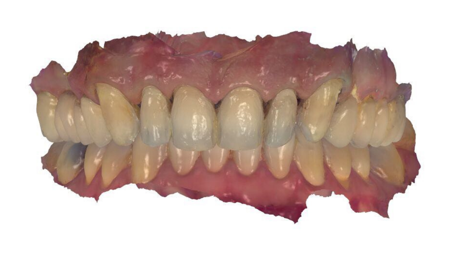
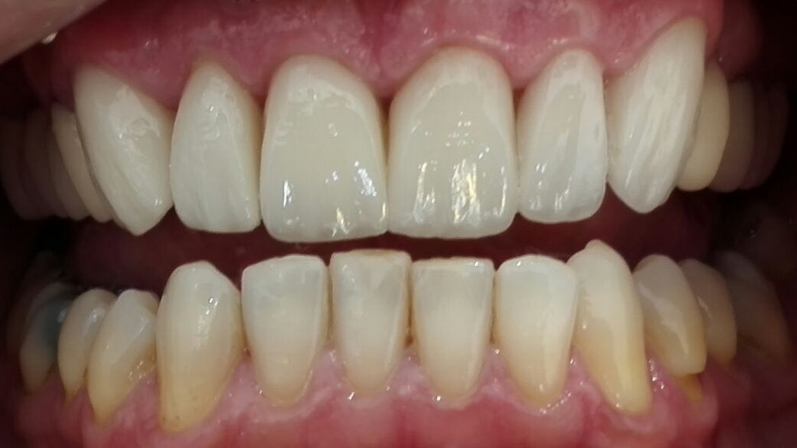
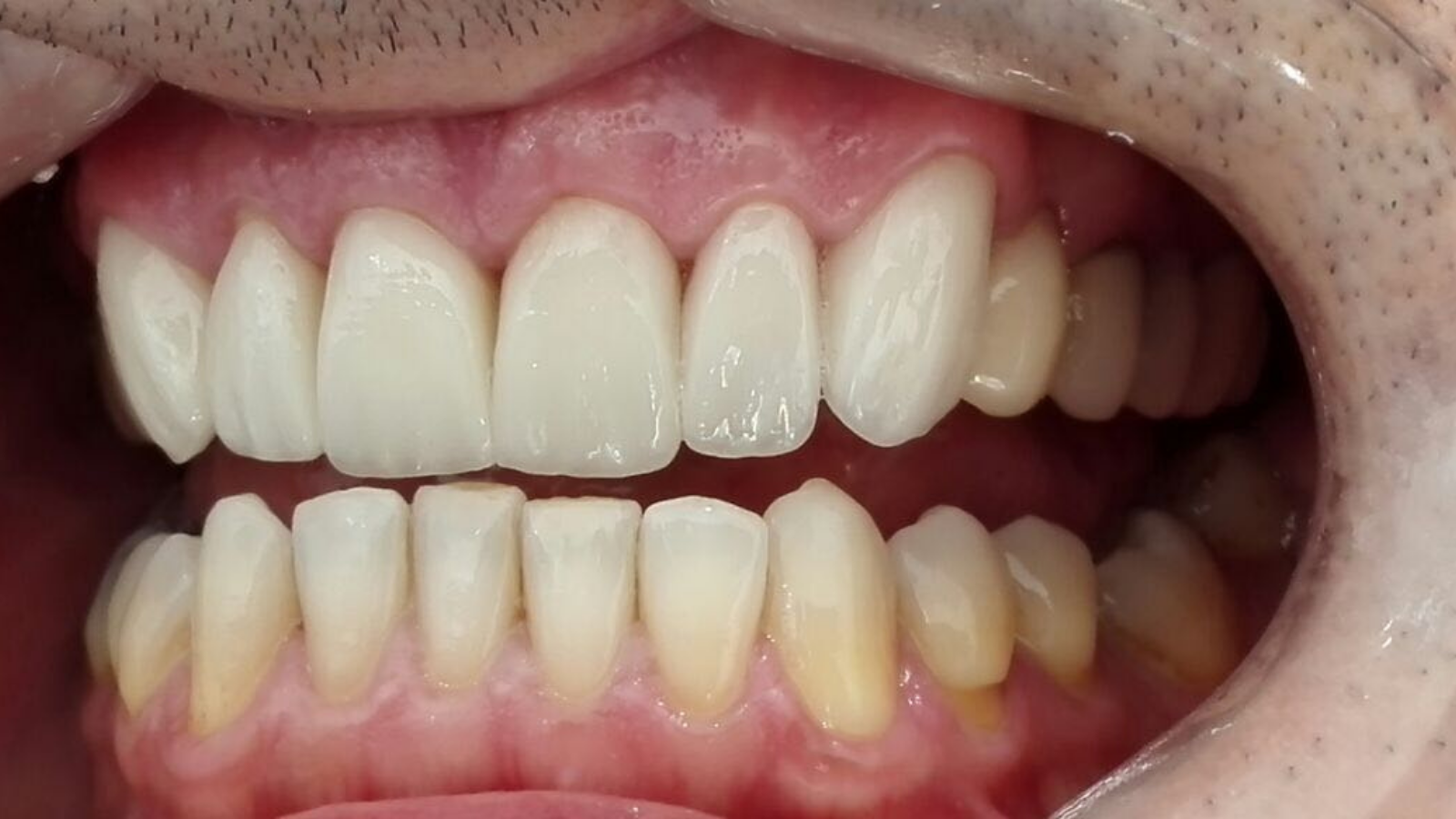
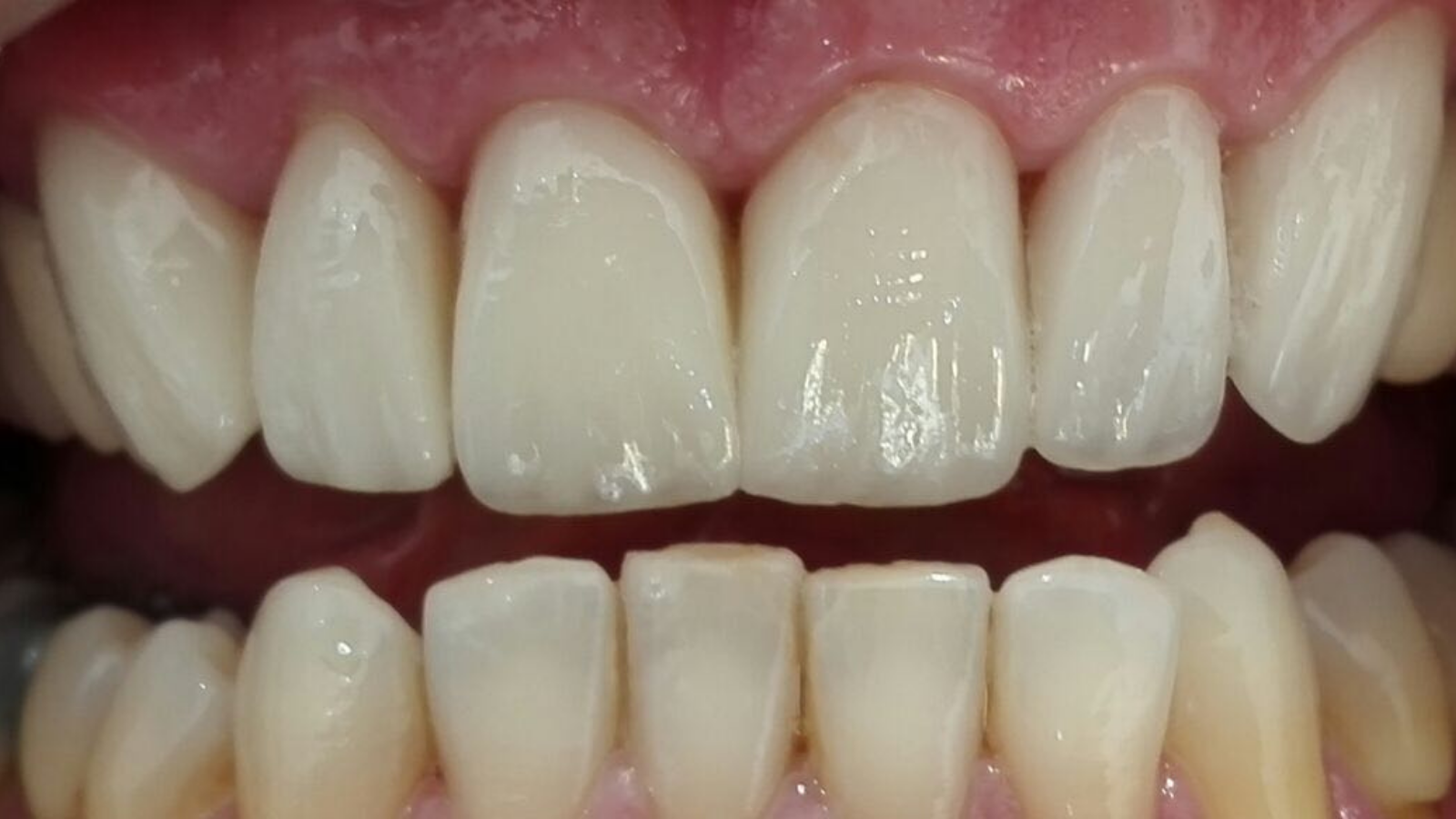
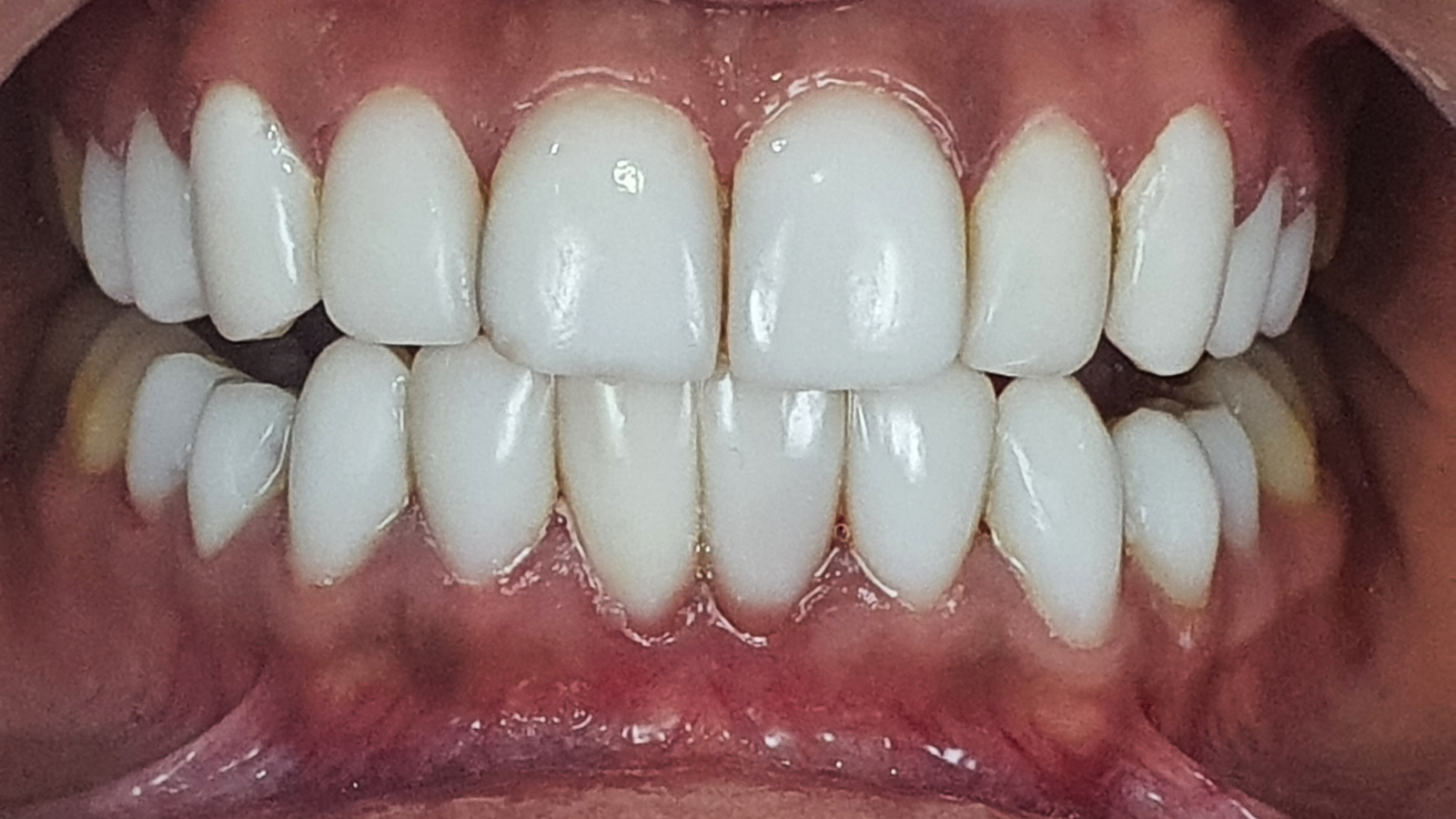
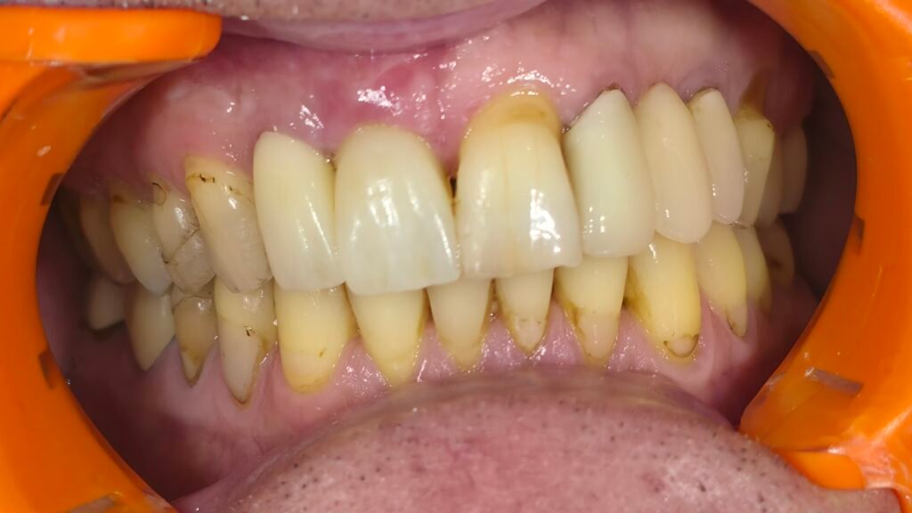
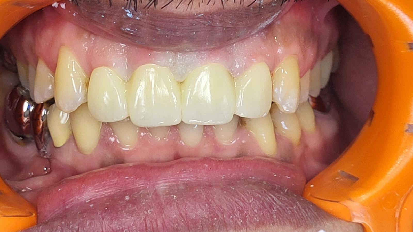
Facettes de canine à canine : sourire plus harmonieux et naturel
Un patient se présente pour rendre son sourire plus harmonieux. Les images “Avant” montrent un secteur antérieur avec une esthétique perfectible, notamment au niveau de l’homogénéité, des contours et du rendu de surface.
La prise en charge a consisté en des facettes de canine à canine, avec un objectif clair : retrouver un résultat naturel avec de la brillance, du relief et de la translucidité.
Les images “Après” mettent en évidence un sourire plus équilibré, avec une meilleure continuité entre les dents, un rendu plus lumineux et une texture plus réaliste.
Images :








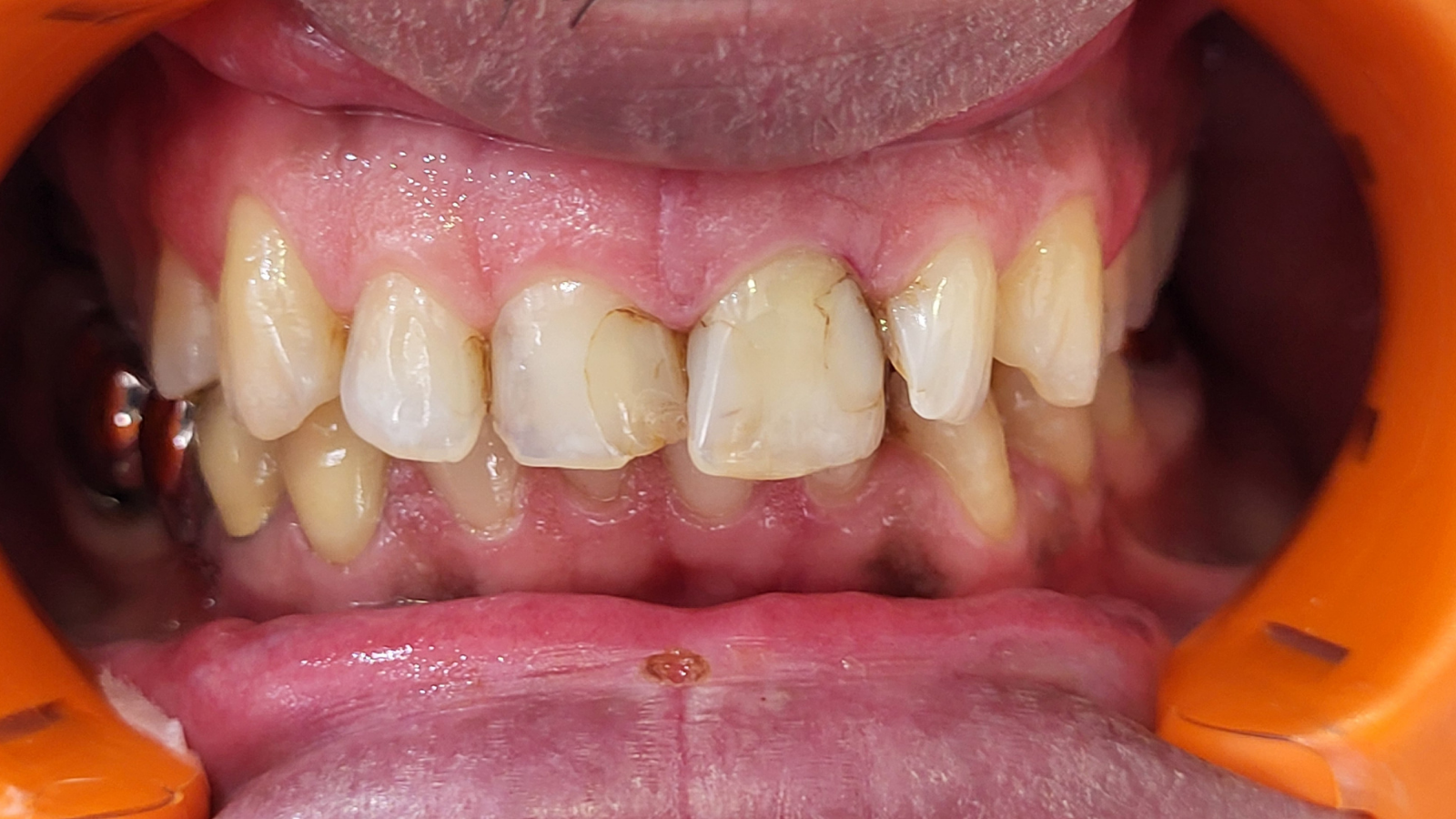
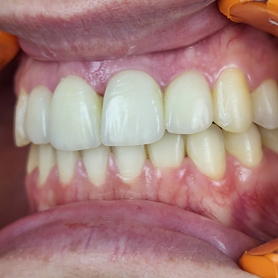
Remplacement de facettes : plus d’harmonie, de translucidité et respect gingival
Une jeune patiente se présente avec des facettes peu esthétiques, opaques et à la forme carrée.
Elles ont été remplacées par de nouvelles facettes aux formes plus harmonieuses, avec davantage de translucidité et surtout une meilleure intégration au niveau de la gencive.
Les images “Après” mettent en évidence un sourire plus naturel, plus lumineux, et une transition plus douce entre la dent et la gencive.
Images :





Restaurations des incisives : un sourire plus naturel
Jeune patiente qui présentait des restaurations sur ses incisives.
L’objectif : un sourire naturel avec les ingrédients qu’il faut — translucidité, relief et forme.
Les images montrent une amélioration de l’harmonie du secteur antérieur, avec une meilleure homogénéité (teinte/texture) et des contours plus réguliers pour un rendu plus naturel.
Images :






Fatima
text
Images :




