DIGIDENTAL DRISSI

Implantologie, soins conservateurs & esthétique dentaire

Une approche moderne et précise, portée par la dentisterie numérique, pour restaurer fonction, confort et sourire.

Prendre rendez-vous :

Explorez nos services pour prévenir, soigner et améliorer votre santé bucco-dentaire.

Découvrez l’histoire derrière l’expertise DIGIDENTAL

DIGIDENTAL DRISSI est né d’une idée simple : associer l’expérience clinique à la précision du numérique pour offrir des soins plus confortables, plus prévisibles et plus personnalisés.
De la planification à la réalisation, chaque traitement est pensé sur-mesure, avec un objectif constant : préserver quand c’est possible, restaurer durablement, et viser un résultat naturel.

Notre engagement se renforce avec le temps

Chez DIGIDENTAL DRISSI, notre engagement ne se limite pas au traitement : il s’inscrit dans la durée.
Nous mettons la technologie au service de l’essentiel — la qualité du geste, la sécurité, le confort et un suivi rigoureux — pour que chaque patient avance en confiance, à chaque étape.

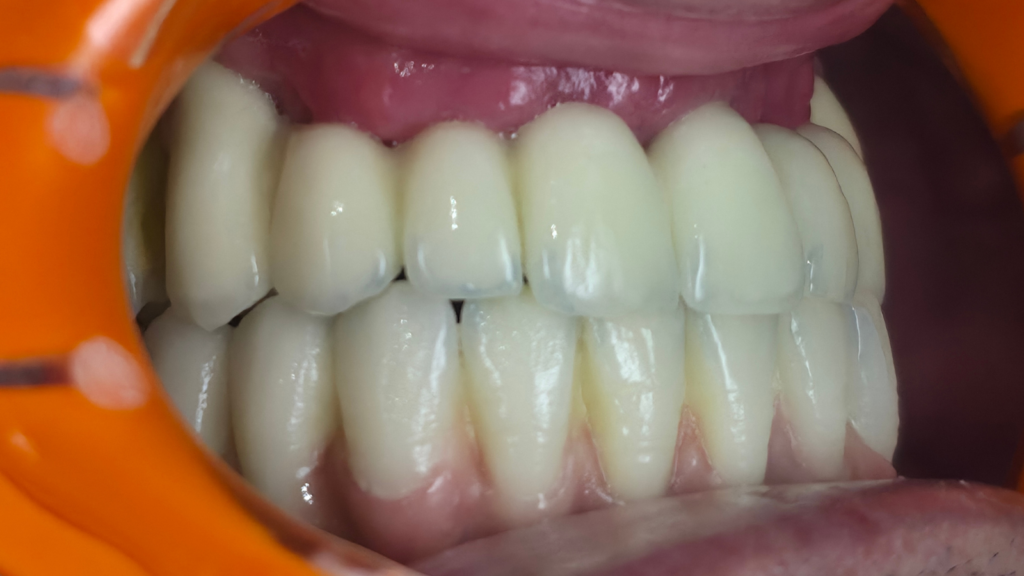
Des résultats concrets, visibles, et durables : nos cas cliniques

Chaque sourire a son histoire. Découvrez quelques exemples de prises en charge réalisées au cabinet, avec une approche précise, planifiée et durable.

Extraction des dents restantes, énucléation, pose de 5 implants.

4 implants en bas avec mise en charge immédiate, puis 6 implants en haut à 3 mois avec expansion osseuse (sans greffe)

Un patient se présente avec une incisive centrale droite (11) dévitalisée, ainsi que l’incisive latérale homolatérale (12), également dévitalisée.

Restez informé avec nos articles santé dentaire.

Conseils simples, bonnes pratiques et réponses aux questions les plus fréquentes : hygiène, prévention, soins conservateurs, esthétique et implantologie.
Recevez nos contenus directement par e-mail, sans spam — uniquement l’essentiel pour mieux comprendre et mieux prévenir.

[blocksy_newsletter_subscribe container_style="boxed" form_style="inline"]